根管治疗价格多少

时间:2015-11-13
QQ咨询
|
医师答疑
更多

   如今牙齿有问题的人越来越多,很多人想做根管治疗又担心价格太昂贵,那么根管治疗要多少钱呢?

   上海美莱医师表示,根管治疗的价格受到很多方面额影响,不好做具体的回答。

   影响因素

   一、自身的牙齿基础

   自身的牙齿基础较好者根管治疗相对少点,自身牙齿基础较差,需要治疗的牙齿较多,这样根管治疗的价格自然稍高一些。

   二、选择的医师

   我们都知道医师的技术水平越精湛的话所需的费用就高一点,相比那些技术水平一般的口腔医生价格就会稍高一些。选择技术精湛的口腔医师为您进行根管治疗明显高效会更好,比较。

   三、选择的

   由于自身医疗设备、医疗服务环境、医护人员服务质量等方面存在差异,所以对根管治疗价格定价也就不同。一般来说,大型正规、实力雄厚的的治疗明显高效自然要优越于条件设施不完善的小,求美者选择正规权威的整形美容进行根管治疗,价格较高些,但明显高效和安心都能得到。

   四、的服务

   温馨的服务与普通的服务相对的价格也会稍微高一点,上海美莱为每位顾客提供全程温馨服务,为您解答疑问。在您进行治疗的过程中我们的护理会为您进行24小时贴心护理。满足您的需求。治疗后我们的医师和护理人员会耐心的给您讲述术后注意事项,以便您尽快恢复健康,收获美丽。推荐阅读:上海牙齿根管治疗哪家好

   经典案例

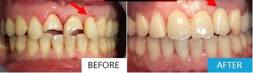
根管治疗案例

   以上就是关于根管治疗价格的介绍,如果您还有任何疑问,可以免费咨询我们的在线医师。我们是您专业的美容顾问,为您的美丽保驾护航。