上海牙齿根管治疗哪家好

时间:2015-11-13
QQ咨询
|
医师答疑
更多

   随着广大人民生活水平的不断提高,大家对牙齿的健康问题也逐渐重视起来。健康的牙齿是完整无缺的,而却有些爱美着的牙齿、牙髓等出现一些病例,这时爱美者就会想到根管治疗,但是很多求美者在选择的时候盲目了,不知如何选择一下好的进行治疗,现在就请上海美莱整形的医师为大家介绍。

   根管治疗

   根管治疗是医生用器械通过有效去除感染的牙髓以及感染的牙本质和毒性分解产物,经过根管冲洗、消毒和严密填塞根管,隔绝细菌进入根管再感染,防止根尖周病变的发生或促进根尖周病的愈合。根管治疗不但可以消灭根管内的病菌及其分解物和毒素,并可以治疗牙根尖周围组织的感染,促使牙根周围组织的修补及愈合,消灭口腔病灶传染的来源。

   手术方法:

   根管治疗术通常包括三个基本步骤:根管预备、根管消毒、根管充填。

   在根管治疗过程中,医生常常要求患牙在根管治疗术前,术中和术后分别拍X线片,以帮助诊断,了解髓室的位置和根管数目及形态,测量根管工作长度及日后随访和评价疗效提供对比的依据。

   美莱技术优势

   1、多种美白,套餐选择:皓齿美白对爱牙人士多样化需求设计出了多套个性化美白套装,让每个人都可以从中找到适合自己的牙齿美白方式。

   2、美白健齿,一箭双雕:防止治疗过程中外力对牙齿的意外伤害,从而改善牙釉质的健康状况使原本不健康的牙齿经过美白后更加充满活力。

   3、舒适微痛,轻松亮白:传统美白方法会使牙齿脱水,脱水造成牙齿敏感(发酸、怕凉)和疼痛,美莱的牙齿美白可防止牙齿过敏症状,美白过程的舒适感。

   4、明显高效持久,拥有自信:传统牙齿美白方法的美白明显高效一般只能保持1—2年,而做皓齿美白后,精心呵护,不刻意去食用对牙齿有损害的食物,美白明显高效可持续2—3年或更久。推荐阅读:根管治疗疼不疼

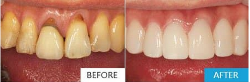
   经典案例

根管治疗案例

   美莱医师

管忠敏

管忠敏 上海美莱负责人口腔权威医师

   管忠敏,30年口腔临床诊疗经验,师从Dr.SaschaJovanovrc种植医生,100余篇学术论文发表于国内核心期刊,精湛技艺享誉行业内外,多次赴美日韩等口腔种植研发交流会并开展讲座,掌握的口腔种植技术及正畸技术。

   上海美莱医疗美容医师提醒您,为了您的安心,一定要到专业正规的进行手术,如果您还有任何疑问,可以免费咨询我们的在线医师。我们是您专业的美容顾问,为您的美丽保驾护航。