美容冠会伤牙根吗?
- 时间:2015-10-21
- QQ咨询
- |
- 医师答疑
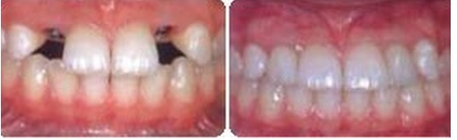
通过美容冠来矫正牙齿的方式在当今社会已经逐渐被人接受,对于牙齿不整齐、虫牙、错位等各种常见牙齿问题都有很好的矫正明显高效,而且矫正过程中也不会出现疼痛和不适感,术后也不用担心会影响工作,因此,很多人选择通过美容冠的方式使自己的牙齿变得=较好、迷人。那么美容冠会伤牙根吗?下面带大家一起去了解下。

美容冠技术是现在范围内明显高效好,并且保持时间长的种牙科修复技术,简单的说它是不会伤害人体牙根的。
“美容冠”技术注重美观与功能两大要素。如果在全冠的修复治疗过程中直保持活髓而未出现牙髓发炎的症状,可活髓黏接修复体,预后较好;如果在全冠的修复治疗过程中出现了牙髓发炎的症状,必须行完善的根管治疗,待根管治疗充填后的反应基本消失后再黏接修复体,预后也较好;对于些活髓牙,由于其位置变异较大,或者其他些原因,在修复的牙体制备过程中会伤及牙髓时,建议行牙髓治疗。
美容冠技术不拔牙、不伤及牙根,仅仅磨除部分牙体进行预备,这个过程安心,是现在供热的安心的牙齿矫正方式。
美容冠技术虽好,但为了明显高效大家定要选择家正规的整形。现在要是您对美容冠还有其他问题,欢迎随时在线咨询联系,上海美莱将竭诚为您服务。
- 上一篇:美容冠对健康有害吗?
- 下一篇:美容冠牙齿美容好不好?



