牙齿黄是怎么回事
- 时间:2015-11-25
- QQ咨询
- |
- 医师答疑
有些朋友的牙齿从小时候开始就很黄,而有些人的牙齿缺失长大后随着时间的流逝一点点变得越来越黄,十分影响美观,那么,牙齿黄是怎么回事?来看看上海美莱医疗美容的医师是如何解答的。
牙齿发黄原因
1、药物或饮用水源的危害,比较典型的就是由于母体或儿童时代服用四环素而造成的四环素牙,以及含高氟水源地区长期饮用高氟水所形成的氟斑牙,在还是孩子的时候就将一口洁白牙齿变成黄色,成为牙齿变黄的主要内源性危害。
2、由于牙齿表面存在多种细菌,这些细菌时刻都在分泌着许多黏性物质,而人们在日常如喝茶、饮咖啡、吸烟等的饮食习惯,都会在牙齿上留下色素,这些色素很容易会吸附在细菌分泌的黏性物质上,使牙齿表面变黄或发黑。如未能及时清洁,时间一长,这些物质还会从牙齿表面逐渐侵入牙齿内部,形成内部污渍,致使牙齿内部开始变黄,这种来自饮食过程外源性的危害,是对牙齿健康的一生威胁。
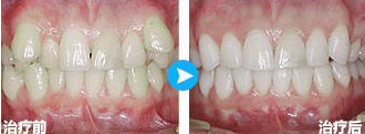
美莱牙齿冷光美白
安心有效,无后顾之忧
冷光美白牙的治疗过程中不会产生热量,所使用的亲水性美白剂有脱敏成份,所以整个过程无刺激感。
美牙护齿,双管齐下
冷光是一种低温冷激光,操作过程中有效避免了对牙齿神经的刺激。美白剂的主要成分是过氧化氢,是一种亲水性物,有效不伤害牙龈.
深层脱色,黄牙拜拜
冷光美白技术不仅可以去除牙齿表面的色素沉积,同时可进入牙齿深层达到脱色的明显高效。快速疗程治疗后能将牙齿表面提高5~14个VITA色阶,明显高效至少可维持两年以上。
极速美白,瞬间变美
冷光美白疗程仅需30分钟。推荐阅读:牙齿冷光美白后的注意事项
经典案例

医师优势

管忠敏 上海美莱负责人口腔权威医师
管忠敏,30年口腔临床诊疗经验,师从Dr.SaschaJovanovrc种植医生,100余篇学术论文发表于国内核心期刊,精湛技艺享誉行业内外,多次赴美日韩等口腔种植研发交流会并开展讲座,掌握的口腔种植技术及正畸技术。
如果您还有任何疑问,可以免费咨询我们的在线医师。我们是您专业的美容顾问,为您的美丽保驾护航。



