烤瓷牙修复牙齿具有哪些优点呢?
- 时间:2015-04-28
- QQ咨询
- |
- 医师答疑
虽说牙齿缺损以后,修补的方法有很多,但是大部分患者都会选择烤瓷牙,这是为什么呢?烤瓷牙具有哪些优点呢?下面就为大家详细介绍下做烤瓷牙有哪些优点。

烤瓷牙有哪些优点呢?
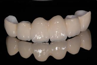
烤瓷牙,即烤瓷熔附金属全冠又称金属烤瓷联合冠。其是瓷粉经过高温烧结熔附于金属内冠表面而形成的全冠修复体。金属烤瓷冠目前临床使用多的全冠修复体,兼有铸造金属全冠机械强度好和全瓷冠美观的优点,是种较理想的修复体。
所需时间短:般像目前正规做烤瓷牙,通常个星期左右的时间,即可完成修复,患者只需要就诊两次即可。
外形逼真、明显高效好:由于烤瓷牙种类多、品种齐全,往往修复后的牙齿外形逼真、明显高效更好,通常都可以调制成和患者真牙的颜色样,做出来的牙齿色泽真实、自然。而这也是为什么虽说牙齿修复方法众多,但烤瓷牙更受患者青睐的重要原因之。
相容性好:通常烤瓷牙修复后的牙齿,生物相容性好,不刺激患者的口腔组织,术后容易清洁、保养,尤其是像贵金属烤瓷牙和全瓷牙修复后的牙齿,因其化学性能稳定,而具有抗腐蚀性,般修复后的牙齿组织都没有过敏现象。
4、强度高:通常烤瓷牙修复后的牙齿,都兼具有金属的强度和烤瓷全冠的美观,物理性能较好,抗断裂能力强、耐磨耗,因而几乎可用于各种牙齿缺陷以后的修复。而这也是为什么烤瓷牙广受患者青睐的原因之。
如果您对烤瓷牙还有疑问,欢迎随时在线咨询,上海美莱将竭诚为您服务,我们是您专业的美容顾问,为您的美丽保驾护航。
- 上一篇:烤瓷牙明显高效可保持多久?
- 下一篇:七招帮你辨别烤瓷牙的优劣



