烤瓷牙明显高效可保持多久?
- 时间:2015-09-01
- QQ咨询
- |
- 医师答疑
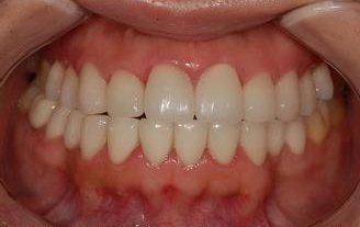
随着人们物质生活水平的提高,人们对于牙齿的美丽也越来越注重,人们的牙齿健康问题得到重视,所以烤瓷牙成了人们欢迎的整形项目,越来越多的爱美人士做了烤瓷牙,那么,烤瓷牙明显高效可保持多久?这是很多爱美者想知道的。烤瓷牙是种理想的修复体。有金属的强度和烤瓷全冠的美观。它的特点是能恢复牙体的形态功能,抗折力强且颜色、表面光滑,耐磨性强不会变形,色泽稳定,成功的烤瓷修复体应当是形态逼真,属性修复体。

1、这个与病人的使用情况有关,病人的护理可以延长烤瓷牙的寿命。
2、这个与烤瓷牙的设计有关。烤瓷牙需要医生根据病人的个人情况来设计方案。
3、这个与烤瓷牙使用的材料有关,好的烤瓷牙材料生物相容性好的金属可以和口腔软硬组织“和平相处”。
个好的烤瓷牙,有赖于临床医师规范的操作,正确的设计,专业的修复理论和技师的密切配合,如果严格掌握好适应症,采取规范操作,应用高性能的粘接剂,病人认真刷牙,定期到洁牙、保健,不吃非常硬的食物,那么它的寿命应该能维持20年甚至更长时间。
通过上面的介绍,相信大家对烤瓷牙的保持明显高效已经有了定的了解,在此建议广大爱美者,定要到正规的进行牙齿矫正,避免造成不必要的伤害。如果您还有疑问,欢迎医师在线咨询。
- 上一篇:医师浅谈烤瓷牙的分类及变色原因
- 下一篇:烤瓷牙修复牙齿具有哪些优点呢?



