超声波洗牙会产生危害吗
- 时间:2015-10-29
- QQ咨询
- |
- 医师答疑
由于人们日常的牙齿清洁工作没有做到位,导致牙齿产生些病变,有可能会导致黄黑牙,在这种情况下,大家可以选择通过超声波洁牙来对牙齿进行清洗。那么,超声波洗牙有危害吗?这是很多洗牙人士普遍关注的问题,下面我们来听听上海美莱医疗美容医师的介绍吧!
超声波洁牙就是用洁治器械去除牙结石、菌斑和色素,并用磨光糊剂或牙膏抛光牙面,使牙面光洁,菌斑不易再堆积。超声波洁牙术就是通过超声波的高频震荡作用,去除牙齿上的牙结石、烟渍和茶斑,可以防止牙龈出血或者牙齿松动的情况,帮助治疗牙周炎等口腔疾病,而且对牙面的损害非常小,洗牙的时间也很短,治疗方便,明显高效明显,不会伤害到口腔健康。>>>推荐阅读:超声波洁牙的适应人群

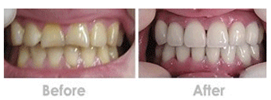
超声波洁牙前后对比图
一般正规的操作对牙齿没有什么损害,而且能够预防一些牙周疾病的发生,但要注意洁牙的次数不宜过频,每年快速。超声波洁牙不会产生什么危害,专业的口腔医师能根据求美者是实际情况,量身定做美白牙齿的方案,让您自始至终都能感觉到医生的专业以及服务的温馨,让您美白牙齿无忧无虑。
如果您对洁牙还有疑问,欢迎随时在线咨询,上海美莱将竭诚为您服务,我们是您专业的美容顾问,为您的美丽保驾护航。
- 上一篇:超声波洁牙注意事项有哪些
- 下一篇:洗牙会让牙缝越来越大吗



