多少岁牙齿矫正较好
- 时间:2015-10-14
- QQ咨询
- |
- 医师答疑
导读:由于种种因素导致很多人错过了牙齿矫正的佳时期,而牙齿不齐或多或少都会给人们带来一定的困扰,有的是生活上的影响,有的是心理上的影响,所以很多成年人还是希望可以矫正牙齿,那么,多少岁牙齿矫正较好?

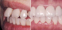
上海美莱成人牙齿矫正明显高效 。
随着医学技术的发展,成年人牙齿矫正技术越来越成熟,很多错过了牙齿矫正佳时期的人,也可以进行牙齿矫正了,但很多对牙齿矫正并不是特别了解的人,仍然担心牙齿矫正的年龄问题。有人提问:26岁牙齿矫正行吗?下面我们就来看看医师的介绍吧!
成年人做牙齿矫正也是一大社会需求
牙齿矫正只适合儿童的说法已经不正确了,越来越多的成年人也在寻求牙齿矫正治疗,以改善他们的笑容,改正牙齿咬合状况或纠正因碰伤,疾病或有效忽视口腔护理所造成的其它问题。当今社会更加重视个人形象和健康,拥有怡人的笑容及整齐的牙齿能使你自信倍增。对于任何年龄的人,健康,美丽的笑容都能增进自信心。
成年人做牙齿矫正没有年龄限制
一般说来是没有年龄限制的,通常牙齿矫正小年龄在2岁左右,大年龄根据资料显示,国内有六十多岁,国外有七十多岁。不过,牙齿矫正的佳年龄是十二三岁。幼儿4岁之前的地包天畸形可以在医师指导下由家长自己为孩子矫正,4岁之后的畸形要在接受医师的治疗才能矫正畸形。当然,因为成年人面部骨骼不再生长,一些严重的牙齿咬合不正问题并不能单用矫治器来做牙齿矫正,这种情况需要运用颌面外科手术才能解决。

成人牙齿矫正没有年龄限制,可以在任何年龄阶段都能进行矫正,老年人也可以进行牙齿矫正,只是矫正的难度较大而已。如果你真的想要矫正牙齿的话,一定要选择正规的整形美容,美莱活力口腔管理,国际品质的私人口腔专业顾问,遵循“牙医协会”标准建设,提供北美标准的牙医服务。进口欧美、日韩高端口腔技术设备,选用国际的口腔产品,致力于为顾客提供高端、尊贵的牙齿健康和美丽维护服务 ,让健康、美丽、活力的牙齿状态维系一生。
相关资料:美莱天使全隐形矫治
美莱天使全隐形矫正技术,抛弃传统正畸的"钢丝铁牙",不用钢丝、不用托槽、不影响美观、可自行摘带,在别人看不到您带了牙套矫正的同时,不知不觉中恢复正常颌面形态,该项集美观、舒适方便、清洁于一身,是无数成人正畸的选择。



