牙齿不整齐,什么方法能矫正?
- 时间:2015-08-14
- QQ咨询
- |
- 医师答疑
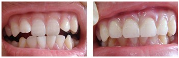
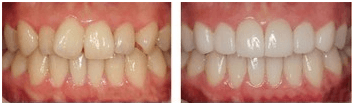
现在的人越来越注重自己的仪表在美容护肤方面会花很多时间,笑容具有强烈的感染力,而口雪白的牙齿能给人留下好印象,因此很多牙齿不好的人都想矫正牙齿。可是牙齿矫正的方法有哪些呢?下面小编为大家介绍5个科学方法。


1.固定矫治器
是将托槽、带环等装置用黏结剂粘固于牙面上,患者自己不能摘戴,只有医生用专业器械取下。固定矫治器是目前临床上常用、矫治效能较高的矫治器。有唇侧矫治器和舌侧矫治器之分。
2.活动矫治器
附于牙或粘膜上,自己可随意摘戴,般常用于乳牙和替牙期的比较简单的错牙合畸形的矫正。
3.隐形矫治器
是根据患者牙列形态开展个性化设计,通过计算机三维图像技术模拟牙齿移动,应用数字化成型技术生产的多副由弹性透明高分子材料制成的矫治器。
患者可以自行摘戴,矫治几乎在没有人察觉中完成,不影响日常生活和社交。但价格较贵,且适应证有限,复杂错牙合畸形的矫治没有法完成。
4.功能轿治器
主要用于替牙期或者刚刚换完牙还处于生长发育高峰期的儿童,利用咀嚼肌或口周肌的功能作用力引导颌骨生长而矫正轻中度功能性及骨性错牙合畸形。
5.正颌外科
严重的骨性畸形,如上颌骨前突、上颌骨发育不足、下颌前突、下颌后缩等,需正畸正颌联合治疗,单纯正畸治疗是没有法较好改善患者面型的。
以上的5个科学牙齿矫正的方法主要是功能性矫正。牙齿矫正的方法有哪些?当然还有其他多种方法,如树脂贴面、瓷贴面、烤瓷牙等等,这些属于美学矫正。大家要根据个人的牙齿实际情况、牙颌畸形种类等,再综合个人要求选择治疗方法,每种方法各有优缺点,不同人各有偏好,需要在检查时和医生直接交流确定方案。
- 上一篇:牙齿隐形矫正是怎么矫正的
- 下一篇:“胖歪”矫牙,从此不胖也不歪



