隐形矫正

有了一口洁白的牙齿,就有自然灿烂的笑容,可以让人增添自信。隐形矫正就是无托槽矫正技术,没有传统意义上的弓丝和托槽,是用透明分子材料制作而成,隐形矫正虽然效果好,优点突出,但并非适用于所有人,目前主要实用在轻中度牙齿畸形。

适应症状:牙齿拥挤患者,牙齿间隙过大,牙列不齐,老鼠牙

推荐医生:
魏东

关注度2899 14人正在咨询56人成功预约

项目介绍
技术优势
互动点评
私人订制
热门推荐
项目介绍

       有了一口洁白的牙齿,就有自然灿烂的笑容,可以让人增添自信。隐形矫正就是无托槽矫正技术,没有传统意义上的弓丝和托槽,是用透明分子材料制作而成,隐形矫正虽然效果好,优点突出,但并非适用于所有人,目前主要实用在轻中度牙齿畸形。

手术方法:

   矫正的过程是通过很多副牙套共同完成的

恢复时间:
       佩戴矫正器1-2年,具体视情况而定。
注意事项:
       术前:
       1、心理调整,牙齿正畸治疗的疗程较长,一般为1-2年,所以患者要有充分的思想准备,避免半途而废。 
       2、排除口腔其他疾病做临床检查
       3、维护口腔健康,每天清洁牙齿
       术后:
       1、患者戴上矫治器后,会有轻度疼痛、酸胀等不舒服的感觉,对矫治器也不适应,这是正常现象,需要一段时间的适应过程。
       2、注意不能吃过硬、过粘的食物,前牙也不能直接啃咬硬的食物,以防损坏矫治器。
       3、保持良好的口腔卫生非常重要,必须坚持早晚和饭后认真刷牙。
       4、遵从医嘱,定期复查。

技术优势

       1、隐形:隐形牙套透明轻薄,佩戴后更紧贴牙齿,矫正期间进行日常运动也不会导致口腔磨损,告别“铁齿铜牙”。
       2、美学设计:根据术前面部美观设计及颌骨特质,准确设计矫正角度、力度,确保矫正后效果的美观。
       3、坚固耐用:高分子透明材料,坚固耐用,不易被磨损,牙套可自由摘取,方便口腔清洁。

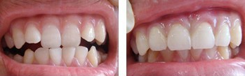
经典案例