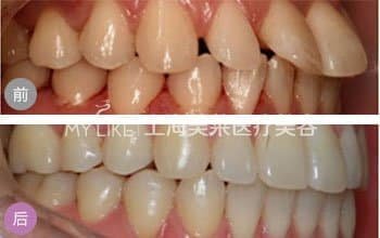
牙齿矫正可以改变脸型吗
- 时间:2015-10-21
- QQ咨询
- |
- 医师答疑
很多明星段时间不见,发现变漂亮了,特别是脸型,变得尖锐没有比,很多人就质疑其是否整容了,很多明星就会解释说是因为拔牙或者牙齿矫正才改变脸型,那么牙齿矫正是否真的可以做到改变脸型呢?下面就让医师来为我们解答。

医师称,很多情况下的矫正病例,其牙齿移动的范围都是前后方向,所以脸部侧面的外观改变大。例如暴牙的病例,嘴唇因为门齿往后移动会变得较容易闭牢,而门齿也就不容易外露,所以,没有论从侧面或者是从正面来看,脸型都会比较好看。因为牵涉到以后的稳定度,般整牙对牙弓宽度改变都不太大。纵然有一部分青少年病例,可能会采取快速上颚扩张术把过窄的上颌牙弓矫治,但对脸部宽窄的改善应该不会有太大影响。
我国常见的女人脸型是国字脸,在听说有明星通过整牙来改变脸型后,一些人就蠢蠢欲动。可是整牙会改变脸型吗?国字脸型的人主要是下颌骨生长发育方向较为水平,造成下颌骨构造比较方正,同时咀嚼肌肉也很发达,所以要变为瓜子脸,恐怕整牙是不行的,要整形外科医师来帮忙才能达成目标。但有个病人曾经说,他矫正以后从前的朋友好像认不出他,那矫正是不是会把人变脸?答案是他曾接受传统矫正合并正颌手术治疗。
而且,大家知道般人会觉得小孩通过整牙后脸型的改变程度会比成年人大,但主要原因是生长发育。纵然一个青少年没有接受整牙的手术,他的脸型都会因为骨骼及软组织生长发育而有所改变,但在这短时间,矫正医师是可以利用功能式矫正器或口外装置有限度改变颌骨生长的方向和程度,以达到改变脸型的目的。
其实治疗后令病人有比较美丽的脸型直是矫正医师的目标,我们希望每位病人都能有一个灿烂的笑容。所以,整牙或多或少都会改变脸型。但是,若想为了改变脸型而去整牙,那是不明智的!
如果您对牙齿矫正还有任何疑问,欢迎随时在线咨询,上海美莱将竭诚为您服务,我们是您的美丽顾问,为您的美丽保驾护航!
- 上一篇:牙齿矫正要多久见明显高效呢?
- 下一篇:牙齿不齐怎么办?牙齿矫正好吗



