-
上海美莱举办“MAKE UP FOR EVER幻境的艺术”彩妆沙
2016-08-1220十多年6月25日,上海美莱举办MAKE UP FOR EVER幻境的艺术国际一线彩妆品牌时尚沙龙讲座,数十位美莱VIP会员驾临活动现场,观摩时尚前沿彩妆趋势,学习高端彩妆技巧,分享今夏IN的……[详情]
- 阅读(159)
- 分享
- 热门:上海,美莱,举办,“
-
美莱“纤体沙龙” 让心情和体型不再沉重
2016-08-11每次看到健康秤上面的体重,我的心情总是和体型一样沉重。只有经历过绝望的人才懂得:胖子和瘦子之间差的 真的不只是几斤肉而已,而是整个人生! 曾经身轻如燕我,如今已是稍动……[详情]
- 阅读(59)
- 分享
- 热门:美莱,“,纤体沙龙
-
美莱强势入驻魔都,黛莱美丽盛筵
2016-08-10美莱 美莱医疗美容于1999年始于上海,历经多年品深厚沉淀,秉承铸行业标准,创百年美莱的品愿景,美莱先后斥资数十亿元拓展亚洲医疗美容市场,整合医疗美容资源,汇集中、韩、……[详情]
- 阅读(99)
- 分享
- 热门:美莱,医疗美容,医
-
直击“台湾微美风尚 • 五官精雕设计沙龙”现场
2016-08-10大家好,我是M星球特派使者小美,我奉命跟踪 Mylike上海美莱 的一举一动,就在今日下午,我有了一些新的发现,在此欢快地报告给大家~. 观察对象: Mylike上海美莱 观察时间: M星历法……[详情]
- 阅读(65)
- 分享
- 热门:直击,美莱,“,台湾
-
送服务进社区 为小朋友免费义诊
2016-08-02近日,公益团队开展了送服务进社区,为小朋友免费义诊公益活动。迎接G20,人人做好东道主的倡议发出,美莱整形团队也想贡献他们的力量,服务社区。 义诊开始,就排起了长队……[详情]
- 阅读(68)
- 分享
- 热门:送,服务,进,社区
-
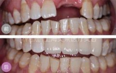
人老牙先衰 56岁大妈体验美莱
2016-08-02都说人老牙先衰,这话倒是一点都不假。老年朋友是牙齿缺失的主要人群,而且缺失牙齿的数量一般都还比较多。特别是本来就有口腔疾病的老年朋友,牙齿缺失情况就更严重了。赵妈……[详情]
- 阅读(151)
- 分享
- 热门:人老,牙先,衰,56岁
-
花季少女患上抑郁症 牙齿难看是“病根”
2016-08-02我们知道,正处在成长的青少年时期,如果是有一点缺点,就会被周边的同学取笑,甚至还会被排斥,一些有牙齿问题的朋友应该有那么一小段故事。其中本文的主人公霞霞就有着伤不……[详情]
- 阅读(74)
- 分享
- 热门:花季,少女,患上,抑
-
坑爹!父母不帮孩子矫正牙齿会被起诉
2016-08-02当然,这也反映了注重人权的一方面,以及他们对牙齿美观程度的重视。在中国,爸妈没帮你在小时候矫正牙齿,你长大敢说半个不字?多默默埋怨几句罢了! 为什么埋怨呢?实……[详情]
- 阅读(193)
- 分享
- 热门:坑爹,,父母,不
-
十大整形美女,亮相春季盛典引热议
2016-07-26日前(3月27日),备受关注的美莱因美而莱,绽放春季盛典在上海拉开帷幕,三百名佳丽携手相将盛装而至,上海美莱医疗美容医生团压轴出场,道德模范刘婷变性后首度红毯献艺……[详情]
- 阅读(62)
- 分享
- 热门:十大,整形,美女,亮
-
5.12礼赞国际护士节,上海美莱感恩有你!
2016-07-25有一种阳光的微笑能驱赶病魔,有一种忙碌的身影伴着黑夜直到天亮,有一种平凡的鼓励让无数人看到希望! 5.12 国际护士节到了 上海美莱祝所有白衣天使 节日快乐!美丽幸福! 5.1……[详情]
- 阅读(60)
- 分享
- 热门:5.12礼赞国际护士节
-
上海美莱受邀参加珠宝品牌美丽品鉴之夜
2016-07-2520十多年6月4日,珠宝品牌YvesLemay美丽品鉴之夜在上海古美路58号举办,上海美莱作为医美行业的美丽传播使者受邀参加,品鉴美丽盛筵。 下午18:00,来自全国各地的外国友人也纷……[详情]
- 阅读(155)
- 分享
- 热门:上海美莱受邀参加
-
上海美莱早餐大派送第一轮圆满结束
2016-07-25上海美莱的免费豪华早餐你吃到了吗?反正28日、29日,连着两天小like都去蹲点抢早餐了! 为什么是抢?!因为派送现场人满为患太火爆,天使特派员简直派发不过来,宝宝我凭借汉子……[详情]
- 阅读(164)
- 分享
- 热门:“美莱·V美荟”沙
-
5月有型 辣妈立夏——上海美莱母亲节沙龙讲座
2016-07-25鲜花烂漫的五月,迎来了一年中温馨的节日Mothers Day 母亲节!20十多年5月8日,上海美莱特举办5月有型 辣妈立夏大型沙龙讲座,为我们的美莱VIP们送去温馨的节日祝福。 下午14:00,……[详情]
- 阅读(115)
- 分享
- 热门:上海美莱母亲节
-
上海美莱举办“登‘峰’造鼻”美鼻专场沙龙活
2016-07-2420十多年5月28日,上海美莱举办登峰造鼻美鼻专场沙龙活动,数十位美莱VIP齐聚现场,成为第一批登峰造鼻项目的受益者!下面欢迎跟小like一起回顾下此次沙龙活动~ 下午14:00,阴雨绵绵……[详情]
- 阅读(125)
- 分享
- 热门:美鼻沙龙活动

















